Goodwood Standard Smooth Dachshunds

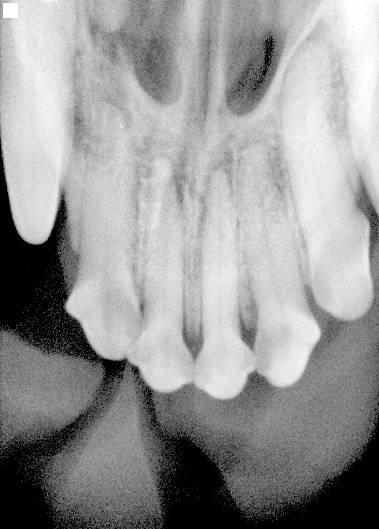
2007 has been the year of the teeth for my dogs.
Lots of dental work!!! A root canal for Kadenz and some broken teeth pulled for Bridey and lots of baby teeth action for puppies.
Lucky for me I have the best doggy dentist in the west: Dr. Randi Brannan. I recommend her unreservedly. http://www.animaldentalclinicnw.com/

Left: Knuckle's mouth Right: Bridey's upper incisors

Bridey's upper 4th premolar... OUT it goes.......